つらい“首のコリ”が直らない理由…原因は「舌」だった! 現代病「舌」の問題を解説した動画をYouTubeで7月30日公開
医療法人社団健幸会 安藤歯科クリニックは、原因不明といわれていた「肩こり」や「首のコリ」の原因が「舌」にあることを、長年咬み合わせ治療・研究をしている、安藤 正之歯科医師が、YouTube「舌ストレス改善委員会」でわかりやすく解説している動画を2021年7月30日に公開しました。

安藤歯科医師は、“咬み合わせ治療”で肩こりや腰痛を改善する治療と研究を、30年以上続けてきたが、途中大きな壁に突き当たりました。「歯の咬み合わせ調整」をしても、肩こり・首のコリ・腰痛の改善に、効果がある人には効果がりますが、無い人にはあまり効果が無いという事が分かりました。
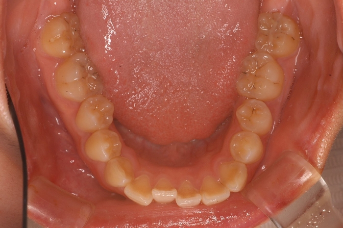
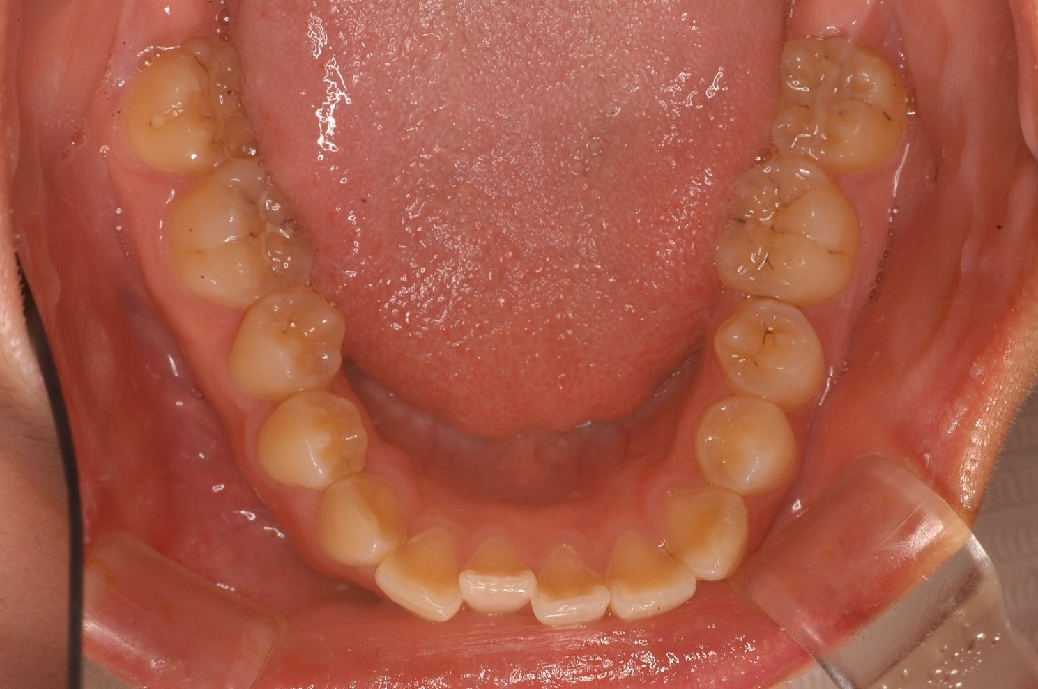
15年ほどは、歯の調整のみで対応してきたのですが、効果のない人は何故効果が無いのか?それが全く分からず、悶々とする日々でした。しかし、ある時たくさんの患者さんの「歯の模型」を見ていて気付いたことがありました。
「歯並びの大きさが人によってまるで違う!」
これが大きな突破口となりました。


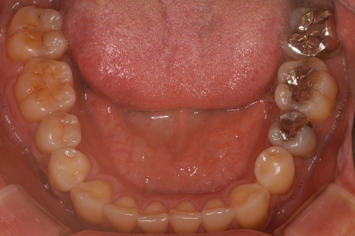
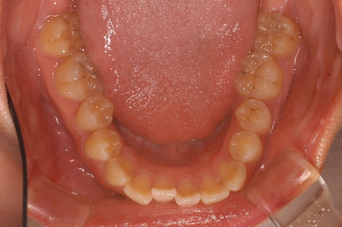
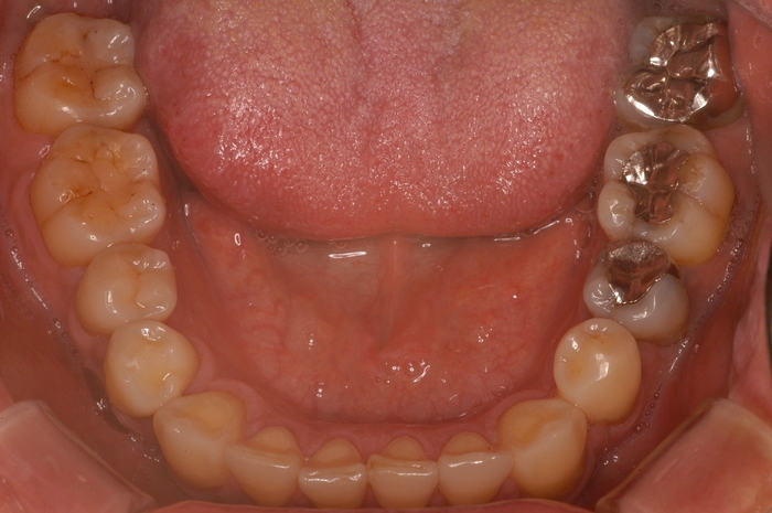
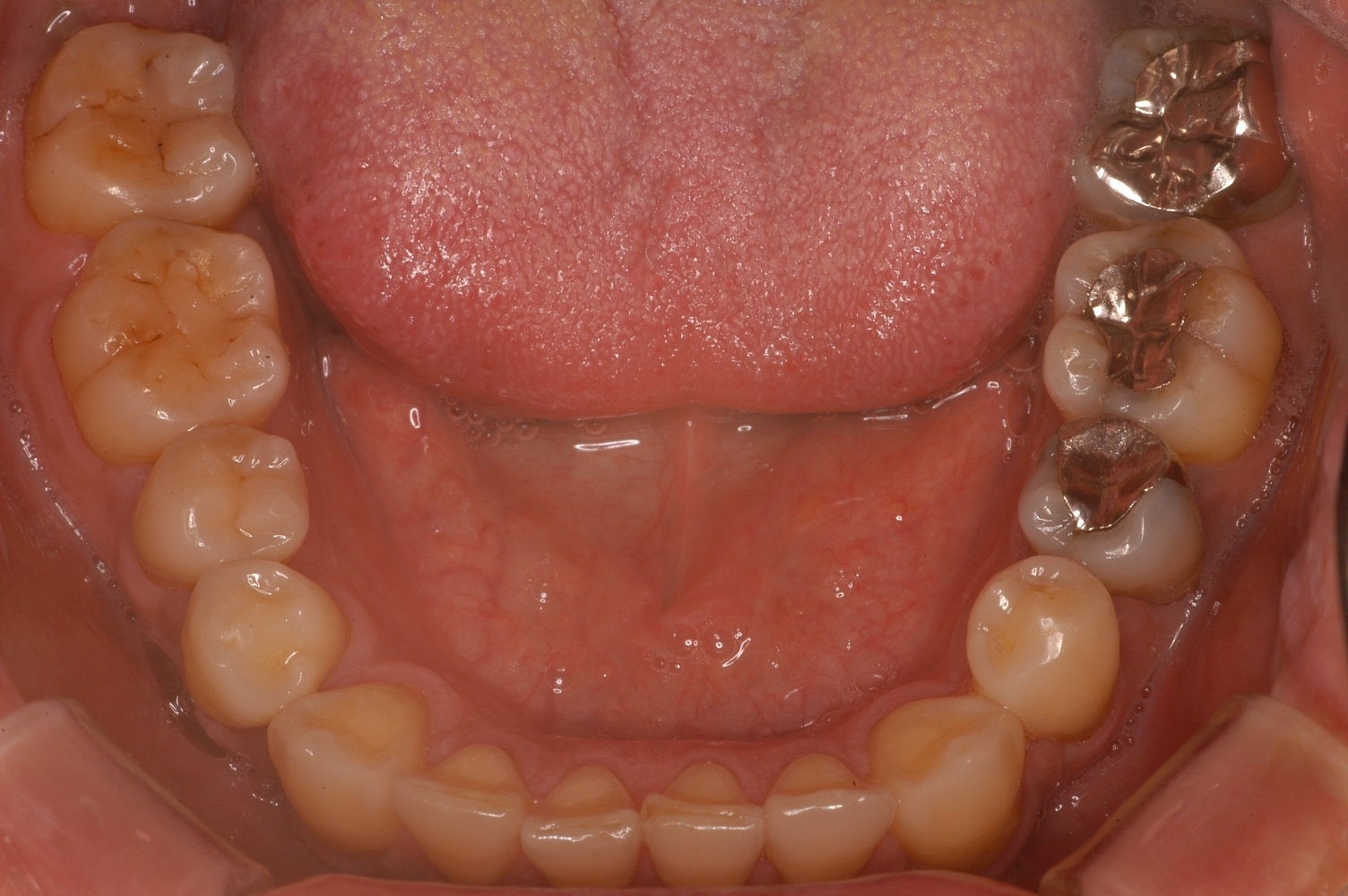
「理想的な歯並び」と「現代人に多い歯並び」の画像、これは何を意味しているのか?
歯並びの中にあるもの。それは、「舌」だったのです。
歯並びが小さいと「舌が窮屈」になり、アゴの位置がずれてしまいます。
その結果、体に様々な症状を引き起こしていたことが分かりました。
この仮説をもとに、今までの治療を見直したことで、大きな前進を生むことになりました。
特に「首のコリ」は、ほとんどが「舌」と「咬み合わせ」から発症しており、原因を取らなければ、根本的には治りません。また、自律神経失調症と同様の症状も、これらが原因で起こり得ます。
その研究の結果をまとめ、2019年1月に「原因不明の体の不調は「舌ストレス」だった」として出版いたしました。

いままで原因が分からなかった、あなたの“体の不調”の答えがここにあるかもしれません。
今までの歯科医学とは、着眼点が違うこの理論。辛い肩こりや首のコリに悩んでいる方は、是非一度動画をチェックしていただきたいと思います。





