会員登録 / ログイン
新着
地域検索
エンタメ
スポーツ
アニメ・ゲーム
BtoB・ビジネス
旅行・お出かけ
グルメ
ネット・IT
ファッション
コスメ
ライフスタイル
金融・経済
調査
Copyright 2006- SOCIALWIRE CO.,LTD. All rights reserved.
トップページ
/
タグ検索
/
医学部
医学部の最新ニュース
近畿大学医学部・病院開設50周年記念 「おおさかメディカルキャンパス」オープニング記念式典を開催
2025-10-10 14:00
学校法人近畿大学
近畿大学病院の移転に伴い、190名の入院患者様を新病院へ 約600名の医療スタッフが連携し、約7時間で一斉に移送
2025-10-02 15:00
学校法人近畿大学
近畿大学医学部×ロート製薬株式会社によるスキンケアイベント 「成分で選ぼう!スキンケア解説セミナー」を開催
2025-08-21 15:00
学校法人近畿大学
腹膜転移型胃がんに治療効果を示すmRNAワクチンを開発 免疫チェックポイント阻害剤と併用する治療法の確立に期待
2025-08-01 14:00
学校法人近畿大学
日本人初、世界的な肝細胞がん治療の包括的戦略提言を主導 生活環境・習慣の改善で約60%の患者が予防可能と予測
2025-07-29 07:30
学校法人近畿大学
近畿大学医学部・病院「おおさかメディカルキャンパス」 大学病院初!AI映像解析警備システム「asilla」を導入
2025-07-24 14:00
学校法人近畿大学
1型糖尿病患者のインスリン枯渇に関わる遺伝子を解明 14年間の経年調査によりインスリン枯渇速度の個人差を確認
2025-06-13 17:00
学校法人近畿大学
AIを用いた顔のシミの高精度診断支援システム開発に成功 レーザー治療実施判断を支援し、治療の最適化に期待
2025-06-06 09:00
学校法人近畿大学
SENBOKUスマートシティコンソーシアムと近畿大学が連携し「カレッジラボ」を開催します -市民の主体的な健康増進活動を支援する取組を提案-
2025-05-28 14:00
学校法人近畿大学
近畿大学医学部教授 兼 近畿大学原子力研究所教授 細野眞が国際放射線防護委員会(ICRP)主委員会の委員に選出
2025-05-12 15:00
学校法人近畿大学
わが国で初めてKLHL11抗体測定系の確立に成功~原因不明の小脳性運動失調症の診断と治療への貢献に期待~
2025-04-11 11:00
学校法人近畿大学
近畿大学病院が「第17回がんセンター市民公開講座」を開催 「乳がん」について家族や大切な人と学び、考える機会に
2025-03-14 15:30
学校法人近畿大学
ミス東大が東大理三に合格する勉強法を公開『数学を武器にしてみよう!』3/18発売
2025-02-27 14:00
株式会社PHP研究所
世界初!胸部X線撮影やCT検査時の呼吸状態を非接触で計測 ミリ波センサを用いた新たなモニタリングシステムを開発
2025-01-28 16:30
学校法人近畿大学
がん細胞が自らの異常なミトコンドリアで免疫系を乗っ取り、生き残りをはかっている
2025-01-23 01:00
学校法人近畿大学
肝動脈化学塞栓療法と薬剤2種の併用で肝細胞がんへの治療効果が向上 レンバチニブとペムブロリズマブ併用による肝細胞がんの完治に期待
2025-01-09 08:30
学校法人近畿大学
人工知能で胃がんの化学療法の効果を予測-免疫ゲノム情報を基にした精密医療に期待-
2024-12-16 14:00
学校法人近畿大学
脊髄小脳失調症の新しい治療薬候補を発見 ~L-アルギニンの脊髄小脳失調症6型に対する治験結果~
2024-11-26 08:30
学校法人近畿大学
近畿大学医学部・病院の堺市泉ヶ丘移転 新キャンパスの名称が「おおさかメディカルキャンパス」に決定!
2024-11-21 14:00
学校法人近畿大学
4年連続!教授2名が「Highly Cited Researchers」に同時選出 近畿大学医学部・病院のがん研究が世界的な医学の進歩に貢献
2024-11-20 16:00
学校法人近畿大学
11月2日(土)・3日(日・祝)近畿大学医学部「第49回金剛祭」 大阪狭山キャンパスで最後の開催
2024-10-28 15:00
学校法人近畿大学
東海大学医学部学生に向けて、感動の涙でストレス解消させる、「なみだ先生」こと感涙療法士の吉田英史が東海大学主催で「涙活(るいかつ)」ワークショップを11月3日に実施
2024-10-24 18:10
吉田オフィス
近畿大学病院肝疾患相談支援センターが「肝臓病教室」を開催 5年ぶりの対面開催で、参加者からの質問に専門医が直接回答
2024-10-22 15:00
学校法人近畿大学
食道がん患者における術前吸気筋トレーニングの効果を検証 横隔膜機能を改善し、術後呼吸器合併症予防に寄与する可能性を示唆
2024-10-03 15:00
学校法人近畿大学
指定難病である自己免疫性膵炎が発症する際の免疫反応の全容を解明 自己免疫性膵炎の新たな治療法開発に期待
2024-09-27 01:00
学校法人近畿大学
前立腺がんの有無による腸内細菌の違いを発見 腸内細菌から前立腺がんのリスクを予測する手法の開発等に貢献
2024-09-24 14:00
学校法人近畿大学
近畿大学病院 市民公開講座「アレルギー克服に向けて」を開催 アレルギーの専門家が参加者の疑問・質問に回答
2024-09-12 15:00
学校法人近畿大学
体内で神経に集積して疼痛を抑制する抗体を独自に作製 長時間効果を発揮する鎮痛薬への応用に期待
2024-09-11 00:00
学校法人近畿大学
肌の悩みをゼロに!正しい知識を身につけよう 男女ともにメイクアップとスキンケアを学ぶイベントを開催
2024-09-02 15:00
学校法人近畿大学
HPVワクチンの「副反応」に関する論文の欠陥をイラストで解説 ワクチン接種について正しい理解を促す
2024-08-20 14:00
学校法人近畿大学
近畿大学医学部・病院×大阪狭山市×資生堂ジャパン株式会社 市民公開講座「知っておこう!膵がんのこと」
2024-07-31 16:00
学校法人近畿大学
がん細胞に薬剤を高効率に取り込ませる新たな手法を発見 抗がん剤を効果的に送り込む「薬物送達ベクター」の開発応用に期待
2024-07-12 14:00
学校法人近畿大学
近畿大学医学部が年に一度のオープンキャンパスを開催 受験生向けの入試対策講座や医療技術の体験プログラムを実施
2024-06-28 15:00
学校法人近畿大学
大阪府×近畿大学 HPVワクチン接種に関するセミナーを開催 大学生に子宮頸がんやワクチン接種について学ぶ機会を提供
2024-06-26 14:00
学校法人近畿大学
慢性閉塞性肺疾患患者に対する吸気筋トレーニングの効果を検証 横隔膜移動距離が吸気筋トレーニングの評価項目として有用と証明
2024-06-25 17:00
学校法人近畿大学
令和8年(2026年)4月に16番目の新学部 「看護学部」(仮称・設置構想中)を堺市の新キャンパスに設置予定
2024-05-28 15:00
学校法人近畿大学
SENBOKUスマートシティコンソーシアムと近畿大学が連携し、「カレッジラボ」を開催します ~学生の自由な発想とアイデアで、泉北ニュータウン地域の活性化の取組を発信~
2024-05-17 15:00
学校法人近畿大学
たこつぼ型心筋症を合併するギラン・バレー症候群の臨床的特徴を解明 臨床現場での合併症の早期発見と早期治療につながる研究成果
2024-04-04 13:30
学校法人近畿大学
世界初!オプジーボ等の効果を免疫チェックポイント関連因子から予測 非小細胞肺がんの治療方針検討に役立つ研究成果
2024-04-02 02:00
学校法人近畿大学
ステージ4肺がんの症例データから予後を予測するAIモデルを構築 患者の医療・ケアの方針を決定する際の重要な指標に
2024-03-14 15:00
学校法人近畿大学
近畿大学病院が「第16回がんセンター市民公開講座」を開催 「肺がん」をテーマに、家族・大切な人と学び、考える
2024-03-01 16:00
学校法人近畿大学
臨床とがん細胞株データベースでは、薬剤感受性の解析結果に差異がデータベースを用いた薬剤開発の限界を示唆する研究成果
2024-02-20 13:00
学校法人近畿大学
筋萎縮性側索硬化症と前頭側頭型認知症の新たな治療標的の提案へ タンパク質が異常に凝集するメカニズムを解明
2024-02-05 01:00
学校法人近畿大学
近畿大学学長の選任について
2024-01-18 15:30
学校法人近畿大学
近畿大学医学部脳神経外科学教室 市民公開講座 「ふるえ・ぴくつき・いたみ・手足のつっぱり」困ったときの治療法
2023-12-21 15:00
学校法人近畿大学
国内の肺がん患者を対象とした遺伝子検査の実施状況を調査 治療方針を決定するために必要な遺伝子検査の普及に課題
2023-12-16 01:00
学校法人近畿大学
女性非喫煙者の食道がん発症に免疫が関与 -好酸球が多いがんは予後良好-
2023-12-15 14:00
学校法人近畿大学
「HMスキンマーカー」を11月23日から医療機関に販売開始 手術等で使用する、消えづらく発がん性物質を含まない皮膚マーカー
2023-11-21 14:00
学校法人近畿大学
教授2名が「Highly Cited Researchers 2023」に連続選出 臨床医学部門において3年連続同時受賞の快挙!
2023-11-16 14:00
学校法人近畿大学
オフィスでの新型コロナウイルスの感染経路別リスクを明らかに クラスター発生時の長距離エアロゾル感染のリスクと対策効果を評価
2023-11-10 15:00
学校法人近畿大学
近畿大学医学部「第48回金剛祭」を4年ぶりに一般開放で開催 大阪狭山キャンパスにて、11月4日(土)・5日(日)の2日間
2023-10-27 15:00
学校法人近畿大学
東海大学医学部学生に向けて、感動の涙でストレス解消させる、「なみだ先生」こと感涙療法士の吉田英史が東海大学主催で「涙活(るいかつ)」セミナーを10月24日に実施
2023-10-24 15:40
Tears office
真菌感染が誘導する急性膵炎の重症化メカニズムを解明 死亡率約20%の重症急性膵炎の新たな治療標的が明らかに
2023-10-18 00:00
学校法人近畿大学
放射線治療や手術で使用する「サージカルスキンマーカー」を開発 耐久性が高く安全で子どもにも使える皮膚マーカーとしての活用に期待
2023-10-15 18:00
学校法人近畿大学
近畿大学医学部・近畿大学病院×大阪狭山市による共同開催 市民公開講座「いつまでもキレイな姿勢で歩けるように」
2023-10-11 14:00
学校法人近畿大学
近畿大学客員教授で一般社団法人mother ha.ha 代表理事の大﨑洋氏が、医学部生に特別講義「コミュニケーションとスタイル」を実施
2023-09-21 15:00
学校法人近畿大学
マスクを外したことで増えてきた肌の悩みを近大の皮膚科医が解決 スキンケアイベント「行列のできる肌のお悩み相談所」を開催
2023-08-22 14:00
学校法人近畿大学
卵巣がんに対する分子標的薬「ベバシズマブ」の効果を解析 投与終了後に悪化リスクが高まることを確認、最適な投与法を提案
2023-08-03 01:00
学校法人近畿大学
筋萎縮性側索硬化症と前頭側頭型認知症の新たな治療戦略への期待 異常なポリペプチドの合成を制御するメカニズムを発見
2023-07-18 16:00
学校法人近畿大学
近畿大学医学部が年に一度のオープンキャンパスを開催 高校生だけでなく小・中学生や地域の方々も参加可能
2023-06-29 14:30
学校法人近畿大学
高血圧症の一種「原発性アルドステロン症」の新規原因遺伝子を発見 薬が効かない高血圧症の病態解明に新たな視点
2023-06-09 00:00
学校法人近畿大学
SENBOKUスマートシティコンソーシアムと近畿大学が連携し、「カレッジラボ」を開催します ~学生の自由な発想とアイディアで、泉北ニュータウン地域の活性化の取組を行う拠点の魅力向上手法を提案~
2023-06-02 14:00
学校法人近畿大学
植物由来の青黛等を用いた自己免疫性膵炎の治療メカニズムを解明 指定難病である自己免疫性膵炎の新たな治療法確立に期待
2023-05-12 00:00
学校法人近畿大学
膵臓がんの薬が効かなくなるメカニズムを解明 治療が困難となった膵臓がんに対する新たな治療法開発へ
2023-05-01 00:00
学校法人近畿大学
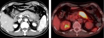
Neurophet社が、近畿大学医学部へ脳神経変性画像分析ソフトウェア「Neurophet AQUA」を供給。 日本への供給は、近畿大学医学部が初めて!
2023-04-27 13:00
学校法人近畿大学
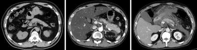
世界初!切除不能な中期肝がんに対する新たな治療法を開発 先行した免疫療法と根治治療で中期肝がん患者の35%を治癒
2023-04-14 00:00
学校法人近畿大学
慢性骨髄性白血病治療薬「ダサチニブ」の効果がなくなる(抗がん剤耐性)原因を発見 治療抵抗性患者への新たな治療法開発に期待
2023-02-28 00:00
学校法人近畿大学
子宮頸がんワクチン(HPVワクチン)接種後の副反応に関する基礎医学論文の科学的欠陥を明らかに ワクチンの正しい理解啓発へ
2023-02-08 23:00
学校法人近畿大学
筋萎縮性側索硬化症と前頭側頭型認知症の核酸医薬を開発 発症に関与するタンパク質の異常凝集を抑制し、治療効果を発揮
2023-02-06 14:00
学校法人近畿大学
筋萎縮性側索硬化症と前頭側頭型認知症の根本治療へ 異常なRNAを抑えるタンパク質群を発見
2023-01-16 02:00
学校法人近畿大学
胎児エコーの遠隔診断で、先天性心疾患の早期発見と治療に成功 IoT技術を使った先端医療で大学病院が地域医療機関を支援
2023-01-10 14:00
学校法人近畿大学
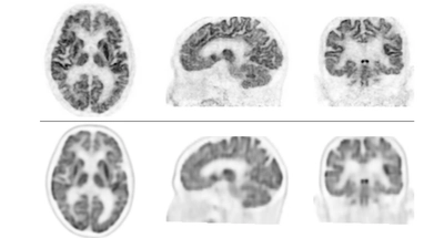
高分解能PET装置で従来よりも高画質な画像を撮像 正確な診断が可能となり、認知症の早期治療への貢献に期待
2023-01-06 14:30
学校法人近畿大学
医師主導治験にて新規術前療法後の外科切除の有効性を証明 予後不良な局所進行肺がんにおいて新たな治療に大きな期待
2022-12-08 21:20
学校法人近畿大学
国内初!患者会の要望で非小細胞肺がんの医師主導治験を実施 分子標的治療薬の適応拡大を目指す
2022-12-02 17:40
学校法人近畿大学
マレーシアの政府と国公立大学関係者が東大阪キャンパスを訪問 リハビリテーションの取り組みと障がい学生支援を視察
2022-11-25 15:00
学校法人近畿大学
医学部教授2名が「Highly Cited Researchers 2022」に連続選出 臨床医学部門において本学医学部より2年連続同時受賞の快挙!
2022-11-16 14:00
学校法人近畿大学
ロンドン五輪個人銀メダル、東京五輪個人・団体銅メダルの古川 高晴選手が堺市で教育講演会に出演&アーチェリー実演
2022-11-11 14:00
学校法人近畿大学
近畿大学医学部および近畿大学病院を大阪府堺市へ移転 起工式を執り行い、本体工事に着工
2022-10-24 13:00
学校法人近畿大学
潰瘍性大腸炎とクローン病の発症メカニズムを解明 完治が困難な炎症性腸疾患の新たな治療法開発に期待
2022-09-29 10:00
学校法人近畿大学
世界初!指定難病 自己免疫性膵炎の病原性細菌を同定 健全な腸内環境が自己免疫性膵炎の予防と治療に役立つことを示唆
2022-09-01 10:00
学校法人近畿大学
ゲノムとAIにより食道がんの術前化学療法の効果を予測 -ゲノムと免疫情報を基にした精密医療に期待-
2022-08-09 00:00
学校法人近畿大学
子宮頸がんワクチン(HPVワクチン)接種後の症状に関連する実験データを科学的に評価 ワクチンに対する正しい理解を啓発
2022-08-02 23:00
学校法人近畿大学
8月7日(日)医学部オンラインオープンキャンパス開催 キャンパスライフをリアルに体感する動画コンテンツを多数配信
2022-07-27 14:30
学校法人近畿大学
近畿大学医学部および近畿大学病院の移転準備工事が着工 仮囲いに近畿大学養殖魚のフォトギャラリーを展開
2022-07-26 14:00
学校法人近畿大学
あらゆる固形がんを8種に分類するプログラムを開発 がん治療薬である免疫チェックポイント阻害剤の効果を事前予測
2022-07-22 23:00
学校法人近畿大学
世界初!マスクの使用実態と付着する細菌・真菌について検証 コロナ禍で習慣となったマスク着用の衛生的な方法の啓発に活用
2022-07-19 10:00
学校法人近畿大学
尿中エクソソームを用いて膀胱がんを診断する新たな検査法を確立 患者負担の少ない、膀胱がんの早期診断が可能に
2022-07-08 18:00
学校法人近畿大学
ヘルスケア分野等に関する新事業ビジネスプランを創出する「カレッジラボ」を開催します
2022-05-30 12:00
学校法人近畿大学
近畿大学×吉本興業株式会社「笑い」の医学的効果検証 第2弾 「笑い」によるがん経験者の生活の質向上とストレス緩和をめざす
2022-03-28 15:00
学校法人近畿大学
新型コロナウイルス感染症による肺炎症状を自動診断 人工知能の活用で、画像診断を行う放射線医をサポート
2022-03-23 15:00
学校法人近畿大学
飛沫を吸引する空間飛沫除菌装置を開発 医療現場の知見を生かし、新型コロナウイルスの感染リスクを軽減
2022-03-11 15:00
学校法人近畿大学
肝細胞がんにおいて奏効が生存期間の指標となることを証明 治療薬の有効性評価にかかる時間の大幅な短縮に期待
2022-03-09 15:00
学校法人近畿大学
世界初!熟練医を上回る精度の肝腫瘤画像診断AIを開発 AIによる超音波診断の実用化に大きな期待
2022-02-28 15:00
学校法人近畿大学
化合物「GT-7」が膵臓がん細胞の細胞死を誘導することを発見 これまでの抗がん剤とは異なる作用による新たな治療法の確立に期待
2022-02-17 10:00
学校法人近畿大学
新型コロナウイルスのヒト細胞侵入を阻害する成分を発見 「あおもり藍葉エキス」の新型コロナウイルス感染予防効果に期待
2022-02-10 23:00
学校法人近畿大学
海遊館と近畿大学の文理横断チームが研究調査を開始 水族館での鑑賞体験時の心理的効果を検証
2022-02-01 15:00
学校法人近畿大学
EGFR遺伝子変異肺がんにおける重要な治療標的を確認 がんを抑制する新たな治療法の導入へ大きな期待
2021-12-17 23:00
学校法人近畿大学
医療従事者へ新型コロナウイルスワクチン3回目接種を実施 12月16日(木)・17日(金)・20日(月)近畿大学病院にて
2021-12-13 15:00
学校法人近畿大学
医療・福祉VR総合プラットフォーム「JOLLYGOOD+」、 日本サブスクビジネス大賞2021のBtoB部門にて“ゴールド賞”を受賞!
2021-12-10 10:00
株式会社ジョリーグッド
「SDGs WEEK in KINDAI 2021 ~近代(近大)から未来へ~」 古着ファッションショーでジェンダーレスや多様性について考える
2021-12-08 16:00
学校法人近畿大学
1
2