会員登録 / ログイン
新着
地域検索
エンタメ
スポーツ
アニメ・ゲーム
BtoB・ビジネス
旅行・お出かけ
グルメ
ネット・IT
ファッション
コスメ
ライフスタイル
金融・経済
調査
Copyright 2006- SOCIALWIRE CO.,LTD. All rights reserved.
トップページ
/
タグ検索
/
工藤 正俊
工藤 正俊の最新ニュース
医学部教授2名が「Highly Cited Researchers 2021」に選出 臨床医学部門において本学より同時に2名受賞の快挙!
2021-11-17 15:30
学校法人近畿大学
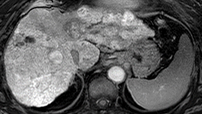
肝細胞がん免疫療法の効果を予測する画像バイオマーカーを発見 免疫療法の効果がない患者に対するMRI診断の有効性を証明
2021-08-19 21:00
学校法人近畿大学
世界初!免疫チェックポイント阻害剤の有効性を事前予測 個々の患者に適した肝がん薬物治療法の確立に期待
2021-06-10 14:00
学校法人近畿大学
世界初! 肝機能不良の進行肝細胞がん患者に対する 免疫チェックポイント阻害剤「オプジーボ」の有効性・安全性を証明
2021-05-27 09:00
学校法人近畿大学
医学部主任教授の工藤 正俊が「Highly Cited Researchers 2020」に選出 臨床医学部門における唯一の日本人として2年連続受賞の快挙!
2020-11-19 14:00
学校法人近畿大学
肝がんの免疫療法後二次治療でのレンバチニブの有効性を実証 生存期間が約2倍に延長されることを世界で初めて確認
2020-10-20 09:00
学校法人近畿大学
1