日本人に最適化した歯列矯正治療法「JET system」により、 7か月で治療完了
効率的な治療法と結果を7月13日東京矯正歯科学会で発表
自由が丘矯正歯科クリニック(東京都世田谷区、院長:成田 信一)は、このたび、当院が開発した矯正治療法「JET system」により、7か月というこれまでにない短期間で歯列矯正治療を終了した症例を確認しました。これまで2~3年程度かかるといわれている歯列矯正の常識を覆すスピードとその成果について、来る2023年7月13日の東京矯正歯科学会で発表予定です。
自由が丘矯正歯科クリニック URL: https://www.402415.com/
人の身体では、組織が損傷すると、その組織の治癒能力を高める現象(局所加速現象/Regional Acceleratory Phenomenon:以下 RAP)が起こります。歯列矯正治療では空隙を獲得する方法の一つとして、抜歯が行われます。従来の方法ではたわみの少ないステンレススチールワイヤーを用いて歯を移動させていたため、RAPの効果が持続する期間内に歯を移動させることは非常に困難でした。
「JET system」は、歯の移動を加速するRAPのトリガーとして抜歯を利用する歯列矯正治療法です。当院が世界で初めて(*1)治療法として開発し、RAPの効果が持続する抜歯後の約4か月間(*2)で歯の移動を終わらせることを目標として治療計画を立て、治療を行います。治療にかかる期間も格段に短くなるだけではなく、JET system用に開発したブラケットを使用することで、これまでよりも弱い矯正力で治療を行うため痛みが少なくなるという利点があります。
7か月で治療を終えた症例について
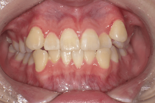
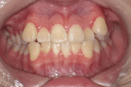
患者
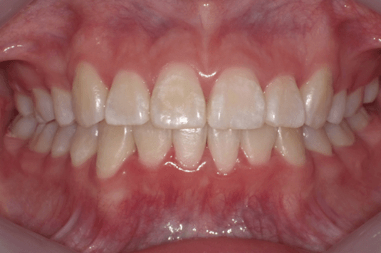
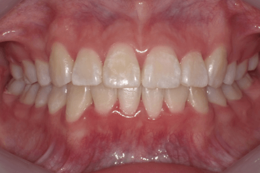
13歳8か月の女子(初診時:写真a)
主訴は左上に八重歯がある。右側Angle ClassII 左側Angle Class I、FMA 36.6°、A.L.D.(凸凹の量/上顎 -10.0mm、下顎 -4.0mm)
治療経過
●開始時
上顎左右、下顎左側第一小臼歯を同時抜去。上下顎にJET system専用のマルチブラケット装置及び主線に0.014inch温度活性型NiTi(以下 HANT)ワイヤーを使用し、50gf NiTi closed coil springを用いて上顎左右、下顎左側犬歯の遠心移動を開始した。

●1か月後
主線を0.016×0.016 inch HANTワイヤーに変更。
●2か月後
主線にリバースカーブを付与した0.016×0.022 NiTiワイヤーに変更し、100gf NiTi closed coil springを用いて、前歯部の後方移動を開始。
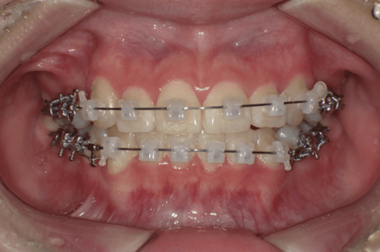
●3か月後
左上の空隙がほぼ閉鎖し、上下顎の正中が合ってきている。(写真b)

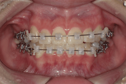
●7か月後
前歯部のトルクコントロール、上下顎の正中の一致、犬歯関係、大臼歯関係が良好になり、咬合関係が改善。(写真c)

考察
抜歯により誘発されたRAPを活用した「JET system」は治療期間の短縮を実現し、患者のQOLの向上に寄与することが示唆された。
中高生であれば6~9か月で歯列矯正治療が終わる可能性
「JET system」は、空隙を確保するための抜歯により誘発されたRAPを活用し、治療期間を短縮する矯正治療法です。従来のストレートワイヤーエッジワイズ法(4stepで順を追って治療を進める方法)を進化させ、JET systemではこれまでの4stepをなくし、歯が移動しやすいRAP期間にあわせて抜歯空隙を閉鎖しながら同時並行的に治療します(図1)。そのため、1年程度で治療を終える(*1)ことが可能となります。この症例のように身体の成長途上にある中高生であれば、治療を6~9か月で終えることができる可能性がでてきたと考えています。

歯列矯正治療では、平均して治療が2~3年にわたることが一般的ですが、JET systemによる最も顕著な患者さんのメリットは治療期間の短縮です。長期にわたる治療のストレスや生活の制約、ブラケットによる見た目への懸念、矯正装置の使用にともなう痛みや違和感等による不快感を短期間で終えることができます。歯科医にとっても、患者さんのモチベーションを維持しやすくなり、治療効果や患者さんの満足度向上につなげることができます。
「JET systemは、ストレートワイヤーエッジワイズ法での矯正治療を問題なく行える矯正歯科専門医を対象としています。基本的な治療が行える専門医向けの発展的な専門技術です。当院では、今後もJET systemをはじめとする革新的な治療システムの研究と普及に取り組み、多くの患者さんの笑顔と健康な歯並びの実現を目指してまいります」(成田院長)
本症例について以下の学会で発表予定
第82回東京矯正歯科学会学術大会(講演発表決定)2023年7月13日 有楽町朝日ホール(東京)
https://www.kokuhoken.or.jp/tos/4_taikai.html
第82回日本矯正歯科学会学術大会(演題登録中)2023年11月1~3日 朱鷺メッセ(新潟)
https://square.umin.ac.jp/jos-am/index.html
本症例を含む書籍
『矯正治療が楽しくなる JET system入門』
著者 :成田 信一(自由が丘矯正歯科クリニック院長)
出版社:デンタルダイヤモンド社
発行日:2023年6月1日

成田 信一 略歴 (自由が丘矯正歯科クリニック 院長)
神奈川県立湘南高等学校卒業
東京医科歯科大学歯学部卒業、同大学大学院修了
日本矯正歯科学会認定医、臨床指導医
アメリカ矯正歯科学会国際会員
世界矯正歯科医会フェロー
*1 Narita S. Narita K. Yamaguchi M. A Novel Technique for Shortening Orthodontic Treatment: The “JET system”. Medicina 2022, 58, 150.
*2 Mathews D.P. Kokich V.G. Accelerating tooth movement: The case against corticotomy-induced orthodontics. Am. J. Orthod. Dentofac. Orthop. 2013, 144, 5-13.






