会員登録 / ログイン
新着
地域検索
エンタメ
スポーツ
アニメ・ゲーム
BtoB・ビジネス
旅行・お出かけ
グルメ
ネット・IT
ファッション
コスメ
ライフスタイル
金融・経済
調査
Copyright 2006- SOCIALWIRE CO.,LTD. All rights reserved.
自由が丘矯正歯科クリニックの最新ニュース・プレスリリース | NEWSCAST
歯列矯正治療法「JET system」による画期的症例が 世界的な矯正歯科学会誌『AJO-DO Clinical Companion』に掲載
2024-12-11 15:00
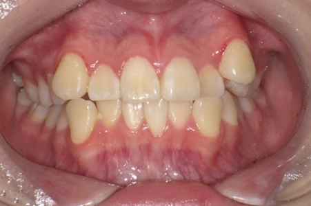
日本人に最適化した歯列矯正治療法「JET system」により、 7か月で治療完了
2023-07-04 13:30
自由が丘矯正歯科クリニック
トップページ
/
自由が丘矯正歯科クリニック