歯列矯正治療法「JET system」による画期的症例が 世界的な矯正歯科学会誌『AJO-DO Clinical Companion』に掲載
自由が丘矯正歯科クリニック(東京都世田谷区、院長:成田 信一)は、当院が開発した歯列矯正治療法JET systemにより、7か月というこれまでにない短期間で歯列矯正治療を終了した症例を確認し、このたび、矯正歯科における臨床の最前線をリードする世界有数の学会誌『AJO-DO Clinical Companion』2024年12月号において同症例についての論文が掲載(*1)されました。

『AJO-DO Clinical Companion』は、アメリカ矯正歯科学会の公式学術誌『American Journal of Orthodontics and Dentofacial Orthopedics(AJO-DO)』の電子版で、特に矯正歯科の臨床現場において世界的な信頼を有する学会誌です。矯正歯科分野における最先端のトレンドや革新的な治療技術を紹介しており、矯正歯科医、歯科医師、研究者、学生にとって不可欠な情報源です。
これまで2~3年程度かかるといわれている歯列矯正において、JET systemにより7か月という常識を覆すスピードで歯列矯正治療を達成したことについて、国内においては、第82回東京矯正歯科学会(2023年7月)、第82回日本矯正歯科学会学術大会(2023年11月)、さらに海外においては、第14回アジア太平洋矯正歯科会議台北大会(2024年12月)で発表、画期的症例として驚きをもって紹介されました。このたびの世界的な学会誌への論文収載により、世界に向けて歯列矯正のまったく新しい治療技術として注目されることが期待されます。
「このたび、私たちの症例が『AJO-DO Clinical Companion』に掲載されたことを大変光栄に思います。この学会誌は、世界中の矯正歯科医が最先端の知識を共有する場であり、その中で私たちの技術や治療アプローチが評価されたことに感謝しています。今回の症例が多くの医師に新たな治療の可能性を示し、さらなる技術向上の一助となることを期待しています。JET systemで患者さんの治療体験がより良いものとなり生活の質(QOL)の向上につながることを心から願っています」(成田院長)
JET systemとは ~治療期間の短い治療法~
人の身体では、組織が損傷すると、その組織の治癒能力を高める現象(局所加速現象/Regional Acceleratory Phenomenon:以下RAP)が起こります。歯列矯正治療では空隙を獲得する方法の一つとして抜歯が行われます。従来の方法では主にたわみの少ないステンレススチールワイヤーを用いて歯を移動させていたため、RAPの効果が持続する期間内に積極的に歯を移動させることは非常に困難でした。
JET systemは、歯の移動を加速するRAPのトリガーとして抜歯を利用する新しい歯列矯正治療法です。当院が世界で初めて(*2)治療法として開発し、RAPの効果が持続する抜歯後の約4か月間(*3)で歯の移動を終わらせることを目標として治療計画を立て、治療を行います。治療にかかる期間も格段に短くなるだけでなく、JET system専用に開発したブラケットを使用することで、これまでよりも弱い矯正力で治療を行うため、痛みが少なくなるという利点があります。
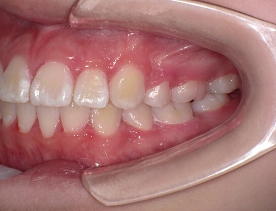
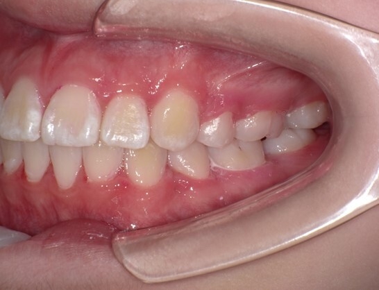
『AJO-DO Clinical Companion』掲載の“7か月で治療を終えた症例”について
患者は13歳8か月の女子。主訴は左上に八重歯があること。上顎両側、下顎左側第一小臼歯を同時抜歯し、JET systemで治療を行ったところ動的治療期間は7か月であった。前歯部のトルクコントロール、上下顎正中の一致、咬合関係の改善が行われた。抜歯により誘発されたRAPを利用したJET systemでの治療は、治療期間の短縮に寄与し、患者QOLを向上させることが示唆された。


この症例のように身体の成長途上にある中高生であれば、治療を6~9か月で終えることができる可能性があります。歯列矯正治療では、平均して治療に2~3年にわたることが一般的ですが、JET systemによる最も顕著な患者さんのメリットは治療期間の短縮です。長期にわたる治療のストレスや生活の制約、ブラケットによる見た目への懸念、矯正装置の使用にともなう不快感を短期間で終えることができます。また、JET system専用に開発したブラケットを使用することで、これまでよりも弱い矯正力で治療を行うため痛みが少なくなります。JET systemは、患者さんのモチベーションを維持し、治療効果や患者さんの満足度向上につなげることが期待できます。
*1 Shinichi Narita Kiyoko Narita, and Masaru Yamaguchi, “A novel straight-wire edgewise system to shorten orthodontic treatment in adolescent patients: The Jiyugaoka Enjoyable Treatment system” AJO-DO Clinical Companion December 2024 Volume 4 Issue 6 p434-444 https://www.ajodo-clinicalcompanion.com/article/S2666-4305(24)00103-1/fulltext
*2 Narita S. Narita K. Yamaguchi M. A Novel Technique for Shortening Orthodontic Treatment: The “JET System”. Medicina 2022, 58(2), 150
*3 Mathews D.P. Kokich V.G. Accelerating tooth movement: The case against corticotomy-induced orthodontics. Am. J. Orthod. Dentofac. Orthop. 2013, 144, 5-13.
自由が丘矯正歯科クリニック
成田 信一 略歴(自由が丘矯正歯科クリニック 院長)
神奈川県立湘南高等学校卒業
東京医科歯科大学歯学部卒業、同大学大学院修了
日本矯正歯科学会認定医、臨床指導医
アメリカ矯正歯科学会国際会員
世界矯正歯科医会フェロー




